Early Detection Saves Lives
Every Heart Deserves World-class Care
We are Changing the Cardiovascular Care

Redefining Cardiovascular Care
At the Preventive Cardiology and Wellness Center (PCWC), we are a full-service concierge cardiology practice dedicated to delivering personalized, high-touch care at every stage of heart health. We offer a wide range of advanced cardiovascular consultations and services, designed to meet the unique needs of each individual.
Our mission is to guide each individual—whether managing existing heart disease or seeking to prevent it—toward lifelong cardiovascular vitality. We blend cutting-edge cardiology with personalized wellness strategies to support every stage of your heart health journey.
From risk assessment to complex cardiovascular management, our services cover the full spectrum of cardiovascular care.
Your Heart, Your Health, Your Future
At Preventive Cardiology and Wellness Center, we believe the most powerful way to treat heart disease is to prevent it. Our approach centers on healing, not just managing symptoms.
What to Expect During Your First Visit
Your initial consultation lasts approximately 1.5 - 2 hours. We take the time to truly understand your health history, lifestyle, risk factors, and personal goals. This isn’t just a checkup it’s the beginning of a partnership.
A Personalized Approach to Prevention
We create a care plan tailored to you, rooted in the latest cardiovascular guidelines and focused on prevention. We’ll discuss any needed tests, explain why they matter, and explore ways you can take charge of your health.
Healing Beyond Medication
While medications may be necessary in some cases, our goal is to help you minimize reliance on them. We focus on nutrition, movement, stress management, and other foundational elements of wellness to support your body’s natural ability to heal.
Start Your Journey to Heart Health
We’re here to empower you with knowledge, support, and a plan that works for your life. Because true cardiovascular health means more than treating numbers it means transforming your life.
Cardiology Consultative Services Offered
- Coronary Artery Disease Evaluation and Management
- Comprehensive Cardiovascular Evaluation
- Cardiovascular Risk Assessment and prevention
- Heart Rhythm and Arrhythmia Evaluation and Management
- Heart Failure Evaluation and Management
- Heart Valve Evaluation and Management
- Peripheral Artery Disease Evaluation and Management
- Pre-Operative Cardiovascular Evaluation
- Women's Heart Health and Prevention
- Women Heart Disease Evaluation and Management
- Lifestyle Modification Consultation and Counseling
- Second Opinion Consultation
- High Blood Pressure Evaluation and Management
- Lipid/Cholesterol Screening/Evaluation and Management
- Cardiac Metabolism Evaluation and Management
- Medications Review/Management and Recommendation






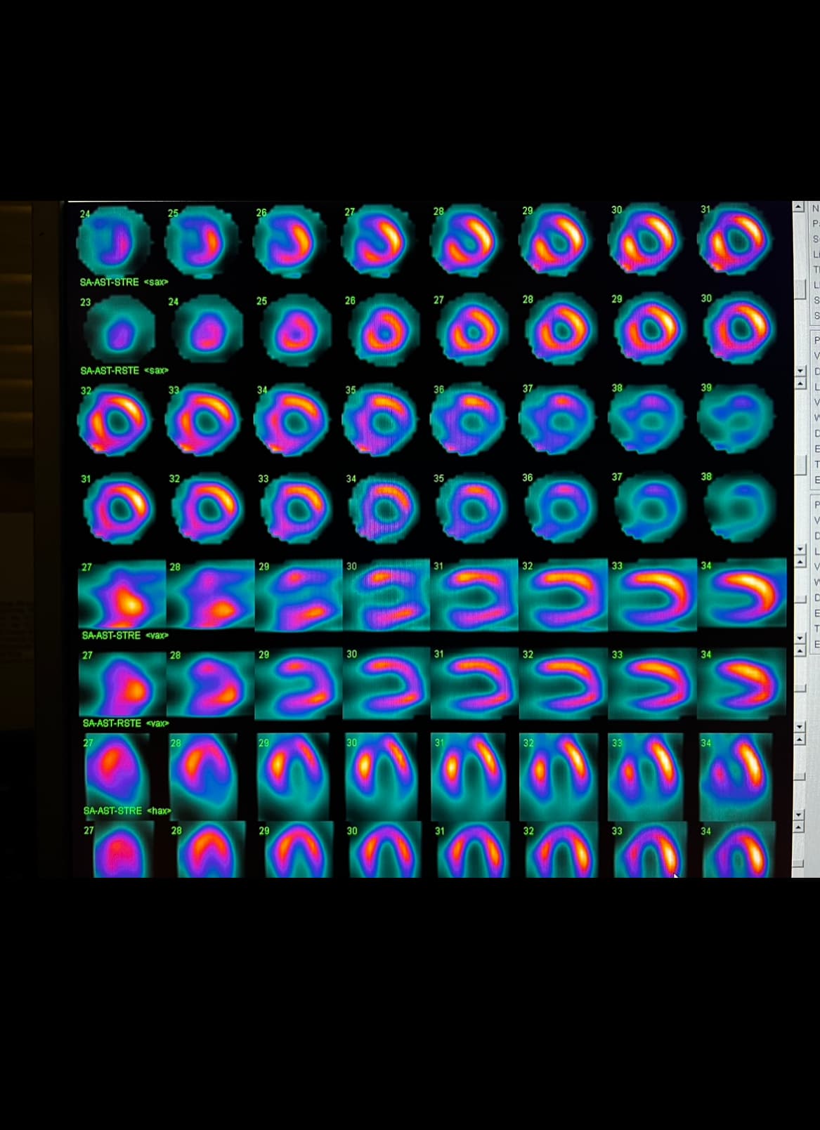
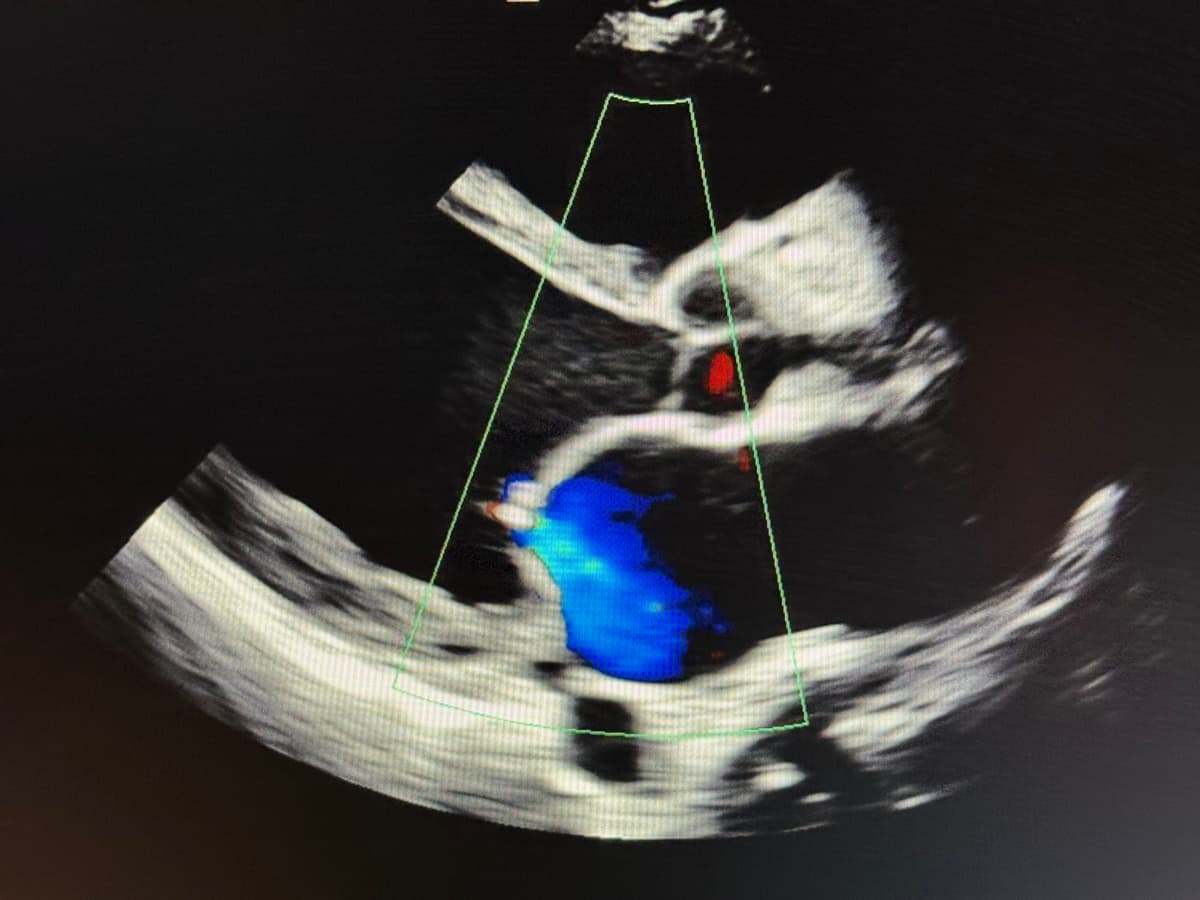
CARDIAC DIAGNOSTIC EVALUATIONS
Diagnostic Tests
- EKG / ECG / Electrocardiogram
- Echocardiogram
- Cardiac Stress Testing
- Holter / Event Monitor Evaluation
- CT / Coronary Calcium Score
- Pacemaker / Defibrillator Evaluation
- Ankle Brachial Index
- Carotid Duplex Ultrasound and CIMT